Citation: Yang Yue, Ren Xiangling, Sun Zhenning, Fu Changhui, Liu Tianlong, Meng Xianwei, Wang Zili. Toxicity and bio-distribution of carbon dots after single inhalation exposure in vivo[J]. Chinese Chemical Letters, ;2018, 29(6): 895-898. doi: 10.1016/j.cclet.2018.04.018 shu

Toxicity and bio-distribution of carbon dots after single inhalation exposure in vivo

  • Corresponding author: Meng Xianwei, mengxw@mail.ipc.ac.cn Wang Zili, wzl9698@126.com
  • Received Date: 9 March 2018
    Revised Date: 27 March 2018
    Accepted Date: 29 March 2018
    Available Online: 30 June 2018

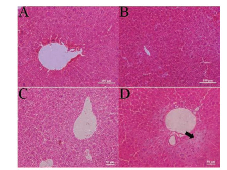
Figures(4)

Metrics
  • PDF Downloads(1)
  • Abstract views(1362)
  • HTML views(72)

通讯作者: 陈斌, bchen63@163.com
  • 1. 

    沈阳化工大学材料科学与工程学院 沈阳 110142

  1. 本站搜索
  2. 百度学术搜索
  3. 万方数据库搜索
  4. CNKI搜索
Address:Zhongguancun North First Street 2,100190 Beijing, PR China Tel: +86-010-82449177-888
Powered By info@rhhz.net

/

DownLoad:  Full-Size Img  PowerPoint
Return